Home Το ΙΑΣΕΙΟ Τμήματα-Ειδικότητες Οι γιατροί μας Ενδιαφέρουσες δημοσιεύσεις




ΣΥΓΚΕΚΡΙΜΕΝΑ:


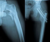
Οστεοσύνθεση καταγμάτων άνω/κάτω άκρων



Με τον όρο οστεοσύνθεση εννοούμε την χειρουργική τεχνική που χρησιμοποιείται για την ανάταξη και σταθεροποίηση καταγμάτων στα άνω και κάτω άκρα του σώματος. Εφαρμόζεται όταν τα κατάγματα είναι επιπλεγμένα ή σοβαρά καθώς και όταν δεν μπορούν να αντιμετωπισθούν με συντηρητικές μεθόδους.

Οι τύποι καταγμάτων στα άνω και κάτω άκρα ταξινομούνται ανάλογα με την τοπογραφία τους.


Οι βασικοί στόχοι της οστεοσύνθεσης για κατάγματα άνω/κάτω άκρων περιλαμβάνουν:

  • Ανάταξη του κατάγματος: Ο πρώτος στόχος είναι να ανατάξουμε τα σπασμένα τμήματα του οστού στη φυσιολογική τους θέση.

  • Σταθεροποίηση του κατάγματος: Η οστεοσύνθεση χρησιμοποιεί ειδικά εργαλεία όπως πλάκες, βίδες, καρφιά ή ειδικές βελόνες, για να σταθεροποιήσει τα κομμάτια του κατάγματος μεταξύ τους. Αυτό επιτρέπει στο κάταγμα να επουλωθεί και να θεραπευτεί.

  • Αποκατάσταση της λειτουργικότητας: Η οστεοσύνθεση στοχεύει στην αποκατάσταση της φυσιολογικής λειτουργίας του άκρου, επιτρέποντας στον ασθενή να επανέλθει στις καθημερινές και αθλητικές του δραστηριότητες.


Οι σύγχρονες τεχνικές οστεοσύνθεσης επιδιώκουν να ελαχιστοποιήσουν τον τραυματισμό και τον χρόνο ανάρρωσης του ασθενούς. Παράλληλα, ιδιαίτερη σημασία δίδεται στον σεβασμό των μαλακών μορίων και στην αντιμετώπιση συνοδών τραυματισμών σε τένοντες και συνδέσμους.

Ο Ορθοπεδικός Χειρουργός-Αθλητίατρος Αργυράκης Δημήτριος έχει πολυετή εμπειρία στην αντιμετώπιση καταγμάτων των άνω και κάτω άκρων, προσεγγίζοντας κάθε περίπτωση ξεχωριστά και δίνοντας εξατομικευμένες επιστημονικές λύσεις.


Εξατομικευμένη αρθροπλαστική του ισχίου




Η αρθροπλαστική του ισχίου, η αντικατάσταση δηλαδή της άρθρωσης του ισχίου με την τοποθέτηση τεχνητών εμφυτευμάτων (κράματα μετάλλου και ειδικών συνθετικών υλικών) επιλέγεται σε περιπτώσεις καταγμάτων του αυχένα του μηριαίου, καθώς και σε περιπτώσεις προχωρημένης αρθρίτιδας η οποία δεν ανακουφίζεται σε συντηρητικά μέσα (φυσιοθεραπεία, αντιφλεγμονώδη φάρμακα, άσκηση, δίαιτα).

Η εξατομικευμένη αρθροπλαστική του ισχίου είναι μια σύγχρονη προσέγγιση στη χειρουργική αντικατάσταση του ισχίου, σχεδιασμένη για να παρέχει την υψηλότερη δυνατή ποιότητα και ακρίβεια στην επέμβαση.


O γιατρός λαμβάνει υπόψη τις ιδιαιτερότητες, τις απαιτήσεις και τα μοναδικά ανατομικά χαρακτηριστικά του κάθε ασθενή και εν συνεχεία προβαίνει στην επιλογή των κατάλληλων υλικών και χειρουργικών τεχνικών για την πραγματοποίηση της επέμβασης.

Με την εξατομικευμένη προσέγγιση, και τα σύγχρονα πρωτόκολλα αντιμετώπισης του μετεγχειρητικού πόνου, επιτρέπεται η άμεση κινητοποίηση και φόρτιση του κάτω άκρου, η περίοδος παραμονής στην κλινική είναι μικρότερη, και η ανάρρωση ταχύτερη.


Πληροφορίες και προετοιμασία για το χειρουργείο

  • Οι ασθενείς υποβάλλονται σε προεγχειρητικό έλεγχο λίγες μέρες πριν την επέμβαση, με σκοπό να ελεγχθεί ο/η ασθενής για πιθανά προβλήματα υγείας. Λαμβάνεται ένα πλήρες ιατρικό ιστορικό και γίνεται έλεγχος της φαρμακευτικής αγωγής.
  • Ταυτόχρονα διενεργούνται προεγχειρητικές εξετάσεις (γενικές εξετάσεις αίματος, ηλεκτροκαρδιογράφημα, ακτινογραφία θώρακος και ισχίων) και εκτίμηση από αναισθησιολόγο.
  • Η εισαγωγή στην κλινική γίνεται συνήθως το πρωί της ημέρας του χειρουργείου, ή το προηγούμενο απόγευμα, σε περίπτωση που διαμένετε σε περιοχή εκτός της Θεσσαλονίκης. Η ομάδα των αναισθησιολόγων καθορίζει ποια μορφή αναισθησίας είναι η κατάλληλη για εσάς.
  • Η διάρκεια της επέμβασης είναι 1-1.5 ώρες. Αμέσως μετά το πέρας της επέμβασης πραγματοποιείται ακτινολογικός έλεγχος.
  • Η παραμονή στην κλινική μετά το χειρουργείο είναι συνήθως μόνο 1 ημέρα.

Αν και επιτρέπεται να κινητοποιηθείτε άμεσα μετά το χειρουργείο με την βοήθεια περιπατητήρα ή βακτηριών (συνίσταται η χρήση τους για 3 εβδομάδες), θα χρειαστείτε πιθανότατα βοήθεια για τις πρώτες ημέρες σε κάποιες καθημερινές δραστηριότητες (δουλειές του σπιτιού, ψώνια, μαγείρεμα, μπάνιο). Ο πόνος μετά το χειρουργείο είναι μέρος της διαδικασίας της επούλωσης. Με την χρήση της εξατομικευμένης αρθροπλαστικής του ισχίου και την εφαρμογή σύγχρονων πρωτοκόλλων αναλγησίας, ο μετεγχειρητικός πόνος είναι ελάχιστος και ανεκτός με φάρμακα από το στόμα κατά την έξοδο από την κλινική.

Μετά την επέμβαση, θα πρέπει να ακολουθήσετε ένα πρόγραμμα αποκατάστασης και φυσικοθεραπείας, για να αποκαταστήσετε τη λειτουργικότητα του ισχίου. Ο χειρουργός παρακολουθεί την πρόοδο σας και διασφαλίζει ότι η αποκατάσταση προχωρά ομαλά.


Ο Ορθοπεδικός Χειρουργός-Αθλητίατρος Αργυράκης Δημήτριος έχει πολυετή εμπειρία στην αντιμετώπιση καταγμάτων των άνω και κάτω άκρων, προσεγγίζοντας κάθε περίπτωση ξεχωριστά και δίνοντας εξατομικευμένες επιστημονικές λύσεις.




Εξατομικευμένη αρθροπλαστική του γόνατος



Η αρθροπλαστική του γόνατος, η αντικατάσταση δηλαδή της άρθρωσης του γόνατος με την τοποθέτηση τεχνητών εμφυτευμάτων (κράματα μετάλλου και ειδικών συνθετικών υλικών) επιλέγεται σε περιπτώσεις προχωρημένης αρθρίτιδας η οποία δεν ανακουφίζεται σε συντηρητικά μέσα (φυσιοθεραπεία, αντιφλεγμονώδη φάρμακα, άσκηση, δίαιτα).

Η εξατομικευμένη αρθροπλαστική του γόνατος είναι μια σύγχρονη προσέγγιση στη χειρουργική αντικατάσταση του γόνατος, σχεδιασμένη για να παρέχει την υψηλότερη δυνατή ποιότητα και ακρίβεια στην επέμβαση. O γιατρός λαμβάνει υπόψη τις ιδιαιτερότητες, τις απαιτήσεις και τα μοναδικά ανατομικά χαρακτηριστικά του κάθε ασθενή και εν συνεχεία προβαίνει στην επιλογή των κατάλληλων υλικών και χειρουργικών τεχνικών για την πραγματοποίηση της επέμβασης.


Με την εξατομικευμένη προσέγγιση, και τα σύγχρονα πρωτόκολλα αντιμετώπισης του μετεγχειρητικού πόνου, επιτρέπεται η άμεση κινητοποίηση και φόρτιση του κάτω άκρου, η περίοδος παραμονής στην κλινική είναι μικρότερη, και η ανάρρωση ταχύτερη.

Τα τελευταία χρόνια, η εφαρμογή της ρομποτικής τεχνικής για την πραγματοποίηση επεμβάσεων ολικής αρθροπλαστικής του γόνατος, έχει αυξήσει την ακρίβεια της μεθόδου και έχει περιορίσει το ποσοστό λάθους στο ελάχιστο, προσφέροντας ένα εξαιρετικό μετεγχειρητικό αποτέλεσμα.


Πληροφορίες και προετοιμασία για το χειρουργείο


  • Οι ασθενείς υποβάλλονται σε προεγχειρητικό έλεγχο λίγες μέρες πριν την επέμβαση, με σκοπό να ελεγχθεί ο/η ασθενής για πιθανά προβλήματα υγείας. Λαμβάνεται ένα πλήρες ιατρικό ιστορικό και γίνεται έλεγχος της φαρμακευτικής αγωγής. Ταυτόχρονα διενεργούνται προεγχειρητικές εξετάσεις (γενικές εξετάσεις αίματος, ηλεκτροκαρδιογράφημα, ακτινογραφία θώρακος και γόνατος) και εκτίμηση από αναισθησιολόγο.
  • Η εισαγωγή στην κλινική γίνεται συνήθως το πρωί της ημέρας του χειρουργείου, ή το προηγούμενο απόγευμα, σε περίπτωση που διαμένετε σε περιοχή εκτός της Θεσσαλονίκης. Η ομάδα των αναισθησιολόγων καθορίζει ποια μορφή αναισθησίας είναι η κατάλληλη για εσάς.
  • Η διάρκεια της επέμβασης είναι 1-1.5 ώρες. Αμέσως μετά το πέρας της επέμβασης πραγματοποιείται ακτινολογικός έλεγχος.
  • Η παραμονή στην κλινική μετά το χειρουργείο είναι συνήθως μόνο 1 ημέρα.
  • Αν και επιτρέπεται να κινητοποιηθείτε άμεσα μετά το χειρουργείο με την βοήθεια περιπατητήρα ή βακτηριών (συνίσταται η χρήση τους για 3 εβδομάδες), θα χρειαστείτε πιθανότατα βοήθεια για τις πρώτες ημέρες σε κάποιες καθημερινές δραστηριότητες (δουλειές του σπιτιού, ψώνια, μαγείρεμα, μπάνιο). Ο πόνος μετά το χειρουργείο είναι μέρος της διαδικασίας της επούλωσης. Με την χρήση της εξατομικευμένης αρθροπλαστικής του γόνατος και την εφαρμογή σύγχρονων πρωτοκόλλων αναλγησίας, ο μετεγχειρητικός πόνος είναι ελάχιστος και ανεκτός με φάρμακα από το στόμα κατά την έξοδο από την κλινική.

    Μετά την επέμβαση θα πρέπει να ακολουθήσετε ένα πρόγραμμα αποκατάστασης και φυσικοθεραπείας, για να αποκαταστήσετε τη λειτουργικότητα του γόνατος. Ο χειρουργός παρακολουθεί την πρόοδο σας και διασφαλίζει ότι η αποκατάσταση προχωρά ομαλά.

    Ο Ορθοπεδικός Χειρουργός-Αθλητίατρος Αργυράκης Δημήτριος έχει πολυετή εμπειρία στην αντιμετώπιση καταγμάτων των άνω και κάτω άκρων, προσεγγίζοντας κάθε περίπτωση ξεχωριστά και δίνοντας εξατομικευμένες επιστημονικές λύσεις.



Εξατομικευμένη αρθροπλαστική του ώμου



Η αρθροπλαστική του ώμου, η αντικατάσταση δηλαδή της άρθρωσης του ώμου με την τοποθέτηση τεχνητών εμφυτευμάτων (κράματα μετάλλου και ειδικών συνθετικών υλικών) επιλέγεται σε περιπτώσεις προχωρημένης αρθρίτιδας η οποία δεν ανακουφίζεται σε συντηρητικά μέσα (φυσιοθεραπεία, αντιφλεγμονώδη φάρμακα, άσκηση, εγχύσεις).

Η εξατομικευμένη αρθροπλαστική του ώμου είναι μια σύγχρονη προσέγγιση στη χειρουργική αντικατάσταση του ώμου, σχεδιασμένη για να παρέχει την υψηλότερη δυνατή ποιότητα και ακρίβεια στην επέμβαση.

O γιατρός λαμβάνει υπόψη τις ιδιαιτερότητες, τις απαιτήσεις και τα μοναδικά ανατομικά χαρακτηριστικά του κάθε ασθενή και εν συνεχεία προβαίνει στην επιλογή των κατάλληλων υλικών και χειρουργικών τεχνικών για την πραγματοποίηση της επέμβασης.

Με την εξατομικευμένη προσέγγιση, και τα σύγχρονα πρωτόκολλα αντιμετώπισης του μετεγχειρητικού πόνου, επιτρέπεται η άμεση προσεκτική κινητοποίηση του άνω άκρου, η περίοδος παραμονής στην κλινική είναι μικρότερη, και η ανάρρωση ταχύτερη.


Πληροφορίες και προετοιμασία για το χειρουργείο

  • Οι ασθενείς υποβάλλονται σε προεγχειρητικό έλεγχο λίγες μέρες πριν την επέμβαση, με σκοπό να ελεγχθεί ο/η ασθενής για πιθανά προβλήματα υγείας.
  • Λαμβάνεται ένα πλήρες ιατρικό ιστορικό και γίνεται έλεγχος της φαρμακευτικής αγωγής. Ταυτόχρονα διενεργούνται προεγχειρητικές εξετάσεις (γενικές εξετάσεις αίματος, ηλεκτροκαρδιογράφημα, ακτινογραφία θώρακος και ώμου) και εκτίμηση από αναισθησιολόγο.
  • Η εισαγωγή στην κλινική γίνεται συνήθως το πρωί της ημέρας του χειρουργείου, ή το προηγούμενο απόγευμα, σε περίπτωση που διαμένετε σε περιοχή εκτός της Θεσσαλονίκης.
  • Η ομάδα των αναισθησιολόγων καθορίζει ποια μορφή αναισθησίας είναι η κατάλληλη για εσάς.
  • Η διάρκεια της επέμβασης είναι 1-1.5 ώρες. Αμέσως μετά το πέρας της επέμβασης πραγματοποιείται ακτινολογικός έλεγχος.
  • Η παραμονή στην κλινική μετά το χειρουργείο είναι συνήθως μόνο 1 ημέρα.
  • Πιθανότατα θα χρειαστείτε βοήθεια για τις πρώτες ημέρες σε κάποιες καθημερινές δραστηριότητες (δουλειές του σπιτιού, ψώνια, μαγείρεμα, μπάνιο).
  • Ο πόνος μετά το χειρουργείο είναι μέρος της διαδικασίας της επούλωσης. Με την χρήση της εξατομικευμένης αρθροπλαστικής του ώμου και την εφαρμογή σύγχρονων πρωτοκόλλων αναλγησίας, ο μετεγχειρητικός πόνος είναι ελάχιστος και ανεκτός με φάρμακα από το στόμα κατά την έξοδο από την κλινική. Μετά την επέμβαση, θα πρέπει να ακολουθήσετε ένα πρόγραμμα αποκατάστασης και φυσικοθεραπείας, για να αποκαταστήσετε τη λειτουργικότητα του ώμου. Ο χειρουργός παρακολουθεί την πρόοδο σας και διασφαλίζει ότι η αποκατάσταση προχωρά ομαλά.


    Ο Ορθοπεδικός Χειρουργός-Αθλητίατρος Αργυράκης Δημήτριος έχει πολυετή εμπειρία στην αντιμετώπιση καταγμάτων των άνω και κάτω άκρων, προσεγγίζοντας κάθε περίπτωση ξεχωριστά και δίνοντας εξατομικευμένες επιστημονικές λύσεις.



Εξατομικευμένη προσέγγιση για την αστάθεια της επιγονατίδας



Η αστάθεια της επιγονατίδας είναι μια κατάσταση όπου η επιγονατίδα δεν διατηρεί την σταθερότητά της και μπορεί να «βγαίνει» από τη θέση της (εξάρθρημα). Σχεδόν πάντα η επιγονατίδα εξαρθρώνεται προς την εξωτερική πλευρά του γόνατος. Το εξάρθρημα της επιγονατίδας συμβαίνει συχνότερα με το γόνατο κοντά στην πλήρη έκταση.

Η κατάσταση αυτή αντιμετωπίζεται αρχικά συντηρητικά, με φυσιοθεραπεία, ενδυνάμωση των δυναμικών στοιχείων γύρω από την επιγονατίδα, προσαρμογή των δραστηριοτήτων του ατόμου, και ενδεχομένως χρήση κάποιου νάρθηκα για λίγο καιρό.

Σε κάποιες περιπτώσεις, τόσο τα δυναμικά όσο και τα στατικά στοιχεία γύρω από την επιγονατίδα, ενδέχεται να επηρεάζουν σε τέτοιο βαθμό την εμβιομηχανική της άρθρωσης του γόνατος, που να προδιαθέτουν για την πρόκληση επαναλαμβανομένων επεισοδίων εξαρθρήματος (υποτροπιάζον εξάρθρημα).






Οι παράγοντες αυτοί, επιγραμματικά είναι:

  • Η θέση της επιγονατίδας
  • Η ανατομία της επιγονατιδομηριαίας άρθρωσης και η τυχόν παρουσία δυσπλασίας αυτής
  • Η ακεραιότητα του έσω επιγονατιδομηριαίου συνδέσμου (MPFL)
  • Η τάση των έξω καθεκτικών συνδέσμων
  • Η γωνία Q
  • Η έξω στροφή κνήμης και η κλίση του αυχένα ισχίου
  • Η παρουσία βλαισογονίας ή βλαισοπλατυποδίας
  • Οστεορθρίτιδα γονάτων

Σε περίπτωση εξαρθρήματος της επιγονατίδας, είναι σημαντικό να επισκεφθούμε έναν εξειδικευμένο ορθοπεδικό για μια έγκαιρη και σωστή εκτίμηση της σοβαρότητας της κατάστασης. Ο γιατρός θα πρέπει να πάρει ένα σωστό και πλήρες ιστορικό και να ζητήσει ειδικές ακτινογραφίες, και ενδεχομένως μαγνητική και αξονική τομογραφία. Η επιλογή της κατάλληλης αντιμετώπισης γίνεται μετά από προσεκτική εξατομικευμένη αξιολόγηση του ιατρού και σε συνεργασία με τον ασθενή, λαμβάνοντας υπόψη την ιδιαιτερότητα κάθε περίπτωσης.

Σε περίπτωση υποτροπιάζοντος εξαρθρήματος της επιγονατίδας, προτείνεται η χειρουργική αντιμετώπιση αυτής, προκειμένου να αποκαταστήσουμε την φυσιολογική ανατομία και να επαναφέρουμε την σταθερότητα στην περιοχή του γόνατος.

Η επιλογή της κατάλληλης χειρουργικής αντιμετώπισης γίνεται μετά από προσεκτική εξατομικευμένη αξιολόγηση του ιατρού και σε συνεργασία με τον ασθενή, λαμβάνοντας υπόψη την ιδιαιτερότητα κάθε περίπτωσης. Είναι σημαντικό εδώ να επισημάνουμε πως η σωστή αναγνώριση των παραγόντων εκείνων που προδιαθέτουν στην εμφάνιση υποτροπιάζοντος εξαρθρήματος και η χειρουργική αποκατάσταση αυτών, είναι ο καθοριστικός παράγοντας, για μία επιτυχημένη έκβαση.

Η θεραπεία της δυσπλασίας της τροχιλίας είναι συνήθως χειρουργική (τροχιλιοπλαστική). Ο εξειδικευμένος ορθοπεδικός θα αποκαταστήσει τη φυσιολογική ανατομία της τροχιλίας, ώστε η επιγονατίδα να μπορεί να «ολισθαίνει» σωστά κατά την κάμψη του γόνατος. Ταυτόχρονα με την τροχιλιοπλαστική, γίνονται και άλλες συμπληρωματικές απαραίτητες διορθώσεις στα ανατομικά στοιχεία του γόνατος, όπως αλλαγή στη θέση της επιγονατίδας, επιμήκυνση του έξω καθεκτικού συνδέσμου (lateral release), μεταφορά κνημιαίου κυρτώματος ή/και ανακατασκευή του έσω επιγονατιδομηριαίου συνδέσμου (MPFL).

Μετά την επέμβαση, θα πρέπει να ακολουθήσετε ένα πρόγραμμα αποκατάστασης και φυσικοθεραπείας, για να αποκαταστήσετε τη λειτουργικότητα της άρθρωσης του γόνατος. Συστήνεται η χρήση ειδικού μηροκνημικού νάρθηκα με γωνιόμετρο κατά τις πρώτες 6-8 εβδομάδες. Ο χειρουργός παρακολουθεί την πρόοδο σας και διασφαλίζει ότι η αποκατάσταση προχωρά ομαλά. Η επάνοδος σε απλές καθημερινές δραστηριότητες είναι εφικτή μετά από 2-3 εβδομάδες, ενώ η επάνοδος σε αθλητικές δραστηριότητες καθυστερεί περίπου 3 μήνες.


Ο Ορθοπεδικός Χειρουργός-Αθλητίατρος Αργυράκης Δημήτριος έχει πολυετή εμπειρία στην αντιμετώπιση καταγμάτων των άνω και κάτω άκρων, προσεγγίζοντας κάθε περίπτωση ξεχωριστά και δίνοντας εξατομικευμένες επιστημονικές λύσεις.



Αρθροσκοπική χειρουργική γόνατος/ώμου/αγκώνα


Η αρθροσκόπηση είναι μία χειρουργική διαδικασία ελάχιστης παρεμβατικότητας που εκτελείται με τη χρήση ειδικού εξοπλισμού.

O ορθοπεδικός χειρουργός πραγματοποιεί 2-3 μικρές τομές, μήκους περίπου μισού εκατοστού γύρω από την άρθρωση, και διαμέσου μίας εκ των τομών, εισάγει στο γόνατο μία πολύ μικρή κάμερα που λέγεται αρθροσκόπιο. Μέσω ειδικής αντλίας εγχέεται εντός της άρθρωσης φυσιολογικός ορός ο οποίος διατείνει την αρθρική κοιλότητα και διευκολύνει την επέμβαση.

Η εικόνα της κάμερας από το εσωτερικό της άρθρωσης μεταφέρεται σε μία συνδεδεμένη οθόνης υψηλής ευκρίνειας. Με αυτό τον τρόπο γίνεται η επισκόπηση της άρθρωσης και ο έλεγχος όλων των ανατομικών δομών.

Διαμέσου των υπολοίπων οπών, εισάγονται στην άρθρωση ειδικά αρθροσκοπικά εργαλεία, που μας εξυπηρετούν στην αποκατάσταση των διαφόρων βλαβών.

Μιας και πρόκειται για επέμβαση με μικρές τομές ο ασθενής μετεγχειρητικά πονάει ελάχιστα, η άρθρωση εμφανίζει μικρότερου βαθμού δυσκαμψία, και η επιστροφή στις καθημερινές συνήθειες γίνεται σε σαφώς μικρότερο χρόνο σε σχέση με τις παλιές ανοικτές τεχνικές. Από την επόμενη ημέρα του χειρουργείου μπορεί να ξεκινήσει πλήρες πρόγραμμα φυσικοθεραπείας, πάντα υπό την καθοδήγηση του ορθοπεδικού.

Ο χρόνος που απαιτείται για την επάνοδο σε καθημερινές και αθλητικές δραστηριότητες, ποικίλλει και εξαρτάται από πολλούς παράγοντες, όπως το είδος του χειρουργείου, η φύση της εργασίας, η σοβαρότητα της κατάστασης, η ηλικία και τα χαρακτηριστικά του/της ασθενούς.

Η αρθροσκόπηση γόνατος ενδείκνυται για παθήσεις όπως:

  • Ρήξη μηνίσκου
  • Ρήξη προσθίου/οπισθίου χιαστού συνδέσμου
  • Απομάκρυνση ελευθέρων οστεοχόνδρινων τεμαχίων
  • Αποκατάσταση οστεοχόνδρινων βλαβών
  • Παθήσεις του αρθρικού υμένα

  • Αστάθεια επιγονατίδας

  • Διαγνωστικά, σε περίπτωση ασαφών κλινικών ευρημάτων

Στον ώμο, οι αρθροσκοπικές επεμβάσεις μπορεί να περιλαμβάνουν:

  • Ρήξη τενόντων του στροφικού πετάλου (υπερακανθίου, υποπλατίου, υπακανθίου)
  • Κάκωση της μακράς κεφαλής δικεφάλου (βλάβη SLAP)
  • Υποτροπιάζον εξάρθρημα του ώμου
  • Ρήξη του επιχειλίου χόνδρου
  • Σύνδρομο υπακρωμιακής πρόσκρουσης/προστριβής
  • Κακώσεις του αρθρικού χόνδρου (χονδροπάθειες)
  • Αστάθεια της ακρωμιοκλειδικής άρθρωσης
  • Ασβεστοποιό τενοντίτιδα του στροφικού πετάλου
  • Κατάγματα ώμου
  • Διαγνωστικά, σε περίπτωση ασαφών κλινικών ευρημάτων

Στον αγκώνα, οι αρθροσκοπικές επεμβάσεις εφαρμόζονται για παθήσεις όπως:

  • Χόνδρινες βλάβες
  • Απομάκρυνση ελευθέρων οστεοχόνδρινων τεμαχίων
  • Παθήσεις του αρθρικού υμένα
  • Επικονδυλίτιδα
  • Επικονδυλίτιδα
  • Μετατραυματικές παραμορφώσεις
  • Διαγνωστικά, σε περίπτωση ασαφών κλινικών ευρημάτων

Ο Ορθοπεδικός Χειρουργός-Αθλητίατρος Αργυράκης Δημήτριος έχει πολυετή εμπειρία στην αντιμετώπιση καταγμάτων των άνω και κάτω άκρων, προσεγγίζοντας κάθε περίπτωση ξεχωριστά και δίνοντας εξατομικευμένες επιστημονικές λύσεις.


Αρθροσκοπική αποκατάσταση του πρόσθιου ή οπίσθιου χιαστού συνδέσμου

Η χειρουργική αντιμετώπιση μετά από ρήξη του προσθίου/οπισθίου χιαστού, προτιμάται σε αθλητές, σε άτομα νεαρής ηλικίας, δραστήρια, με αυξημένες λειτουργικές απαιτήσεις. Εφαρμόζεται επίσης σε άτομα με συνοδές βλάβες και σε άτομα με έντονα συμπτώματα αστάθειας που τους περιορίζουν στις καθημερινές τους δραστηριότητες.

Σε περίπτωση χειρουργικής αντιμετώπισης της ρήξης του προσθίου/οπισθίου χιαστού, εφαρμόζεται η εξατομικευμένη προσέγγιση στην επιλογή του κατάλληλου μοσχεύματος και της πρέπουσας τεχνικής για την αποκατάσταση του χιαστού, και επομένως, της σταθερότητας του γόνατος.

Η εξατομικευμένη προσέγγιση σταθμίζει παράγοντες όπως

  • η ηλικία του/της ασθενούς,
  • οι αθλητικές δραστηριότητες,
  • τα ανατομικά χαρακτηριστικά του γόνατος,
  • καθώς και τα σωματομετρικά χαρακτηριστικά του/της ασθενούς.

Παράλληλα, εφαρμόζοντας τις πιο σύγχρονες τεχνικές βάσει μελετών, σε ασθενείς υψηλού κινδύνου για νέο τραυματισμό, εφαρμόζεται επιπροσθέτως μία τενόδεση στην έξω μεριά του γόνατος (Lateral Extra-articular Tenodesis), που συμβάλλει στην αύξηση της στροφικής σταθερότητας του γόνατος, γεγονός που προστατεύει το μόσχευμα από τον κίνδυνο νέας ρήξης.

Για την χειρουργική αποκατάσταση της ρήξης του προσθίου/οπισθίου χιαστού, χρησιμοποιείται ως επί το πλείστον, ιστός (μόσχευμα) από τον ίδιο τον ασθενή.

Τα σημεία από τα οποία λαμβάνουμε μόσχευμα είναι:

  • Το κεντρικό τμήμα του επιγονατιδικού τένοντα
  • Το κεντρικό τμήμα του τετρακεφάλου τένοντα
  • Οι οπίσθιοι μηριαίοι τένοντες (ημιτενοντώδης τένοντας)

Πληροφορίες και προετοιμασία για το χειρουργείο

  • Οι ασθενείς υποβάλλονται σε προεγχειρητικό έλεγχο το ίδιο πρωί ή λίγες μέρες πριν την επέμβαση, με σκοπό να ελεγχθεί ο/η ασθενής για πιθανά προβλήματα υγείας.
  • Λαμβάνεται ένα πλήρες ιατρικό ιστορικό και γίνεται έλεγχος της φαρμακευτικής αγωγής. Ταυτόχρονα διενεργούνται προεγχειρητικές εξετάσεις (γενικές εξετάσεις αίματος, ηλεκτροκαρδιογράφημα, ακτινογραφία θώρακος και ώμου) και εκτίμηση από αναισθησιολόγο.
  • Η εισαγωγή στην κλινική γίνεται συνήθως το πρωί της ημέρας του χειρουργείου, ή το προηγούμενο απόγευμα, σε περίπτωση που διαμένετε σε περιοχή εκτός της Θεσσαλονίκης. Η ομάδα των αναισθησιολόγων καθορίζει ποια μορφή αναισθησίας είναι η κατάλληλη για εσάς.
  • Η διάρκεια της επέμβασης είναι 1-1.5 ώρες. Η παραμονή στην κλινική μετά το χειρουργείο είναι συνήθως από λίγες ώρες έως το πολύ 1 ημέρα.
  • Αν και επιτρέπεται να κινητοποιηθείτε άμεσα μετά το χειρουργείο με την βοήθεια περιπατητήρα ή βακτηριών (συνίσταται η χρήση τους για 2-3 εβδομάδες), θα χρειαστείτε πιθανότατα βοήθεια για τις πρώτες ημέρες σε κάποιες καθημερινές δραστηριότητες (δουλειές του σπιτιού, ψώνια, μαγείρεμα, μπάνιο). Ο πόνος μετά το χειρουργείο είναι μέρος της διαδικασίας της επούλωσης. Με την εφαρμογή σύγχρονων πρωτοκόλλων αναλγησίας, ο μετεγχειρητικός πόνος είναι ελάχιστος και ανεκτός με φάρμακα από το στόμα κατά την έξοδο από την κλινική.

    Ο χρόνος αποκατάστασης μετά από χειρουργική αποκατάσταση του προσθίου ή του οπισθίου χιαστού εξαρτάται από την σοβαρότητα του τραυματισμού και τις πιθανές συνοδές βλάβες. Ένα εξατομικευμένο πρόγραμμα φυσικοθεραπείας, ανάλογα με το μόσχευμα που επιλέχθηκε και τις συνοδές βλάβες, είναι απαραίτητο προκειμένου το γόνατο να ανακτήσει αρχικά το εύρος κίνησής του, και εν συνεχεία, την δύναμη του. Το διάστημα αποθεραπείας για την επάνοδο σε αθλητικές δραστηριότητες είναι 6-9 μήνες.

    Ο Ορθοπεδικός Χειρουργός-Αθλητίατρος Αργυράκης Δημήτριος έχει πολυετή εμπειρία στην αντιμετώπιση καταγμάτων των άνω και κάτω άκρων, προσεγγίζοντας κάθε περίπτωση ξεχωριστά και δίνοντας εξατομικευμένες επιστημονικές λύσεις.



Αρθροσκοπική συρραφή τένοντα του στροφικού πετάλου του ώμου


Η ρήξη τένοντα του στροφικού πετάλου του ώμου, είναι η διακοπή της συνέχειας (σχίσιμο ή κόψιμο) του τένοντα. Αυτό μπορεί να είναι αποτέλεσμα τραυματισμού μετά από ατύχημα ή πτώση, αλλά μπορεί να είναι και το αποτέλεσμα χρόνιας εκφύλισης και σταδιακής φθοράς του στροφικού πετάλου, λόγω καταπόνησης ή προδιάθεσης.


Η χειρουργική αντιμετώπιση είναι συνήθως η ενδεδειγμένη σε περιπτώσεις:

  • όπου έχουμε μεγάλης έκτασης ή ολικού πάχους ρήξη
  • όπου τα συμπτώματα είναι πολύ έντονα
  • ατόμων μέσης ηλικίας με αυξημένες λειτουργικές απαιτήσεις
  • όπου η λειτουργικότητα του ώμου είναι περιορισμένη
  • όπου η συντηρητική αντιμετώπιση δεν απέδωσε τα προσδοκόμενα αποτελέσματα
  • οξείας τραυματικής ρήξης

Πληροφορίες και προετοιμασία για το χειρουργείο

  • Οι ασθενείς υποβάλλονται σε προεγχειρητικό έλεγχο το ίδιο πρωί ή λίγες μέρες πριν την επέμβαση, με σκοπό να ελεγχθεί ο/η ασθενής για πιθανά προβλήματα υγείας.
  • Λαμβάνεται ένα πλήρες ιατρικό ιστορικό και γίνεται έλεγχος της φαρμακευτικής αγωγής. Ταυτόχρονα διενεργούνται προεγχειρητικές εξετάσεις (γενικές εξετάσεις αίματος, ηλεκτροκαρδιογράφημα, ακτινογραφία θώρακος και ώμου) και εκτίμηση από αναισθησιολόγο.
  • Η εισαγωγή στην κλινική γίνεται συνήθως το πρωί της ημέρας του χειρουργείου, ή το προηγούμενο απόγευμα, σε περίπτωση που διαμένετε σε περιοχή εκτός της Θεσσαλονίκης. Η ομάδα των αναισθησιολόγων καθορίζει ποια μορφή αναισθησίας είναι η κατάλληλη για εσάς.
  • Η διάρκεια της επέμβασης είναι 1-1.5 ώρες. Η παραμονή στην κλινική μετά το χειρουργείο είναι συνήθως από λίγες ώρες έως το πολύ 1 ημέρα.

Πιθανότατα θα χρειαστείτε βοήθεια για τις πρώτες ημέρες σε κάποιες καθημερινές δραστηριότητες (δουλειές του σπιτιού, ψώνια, μαγείρεμα, μπάνιο).

Ο πόνος μετά το χειρουργείο είναι μέρος της διαδικασίας της επούλωσης. Με την χρήση των αρθροσκοπικών τεχνικών συρραφής και την εφαρμογή σύγχρονων πρωτοκόλλων αναλγησίας, ο μετεγχειρητικός πόνος είναι ελάχιστος και ανεκτός με φάρμακα από το στόμα κατά την έξοδο από την κλινική.

Μετά την επέμβαση, θα πρέπει να ακολουθήσετε ένα πρόγραμμα αποκατάστασης και φυσικοθεραπείας, για να αποκαταστήσετε τη λειτουργικότητα του ώμου. Ο χειρουργός παρακολουθεί την πρόοδο σας και διασφαλίζει ότι η αποκατάσταση προχωρά ομαλά.

Ανάλογα με το μέγεθος της ρήξης, τον τρόπο συρραφής, τις λειτουργικές απαιτήσεις, την ποιότητα του στροφικού πετάλου, οι ασθενείς επιστρέφουν στο επιθυμητό επίπεδο δραστηριοτήτων μετά από 3-6 μήνες. Επίσης, συστήνεται η χρήση ειδικού φακέλου ανάρτησης του ώμου για διάστημα 6-8 εβδομάδες μετά το χειρουργείο.

Ο Ορθοπεδικός Χειρουργός-Αθλητίατρος Αργυράκης Δημήτριος έχει πολυετή εμπειρία στην αντιμετώπιση καταγμάτων των άνω και κάτω άκρων, προσεγγίζοντας κάθε περίπτωση ξεχωριστά και δίνοντας εξατομικευμένες επιστημονικές λύσεις.


Αρθροσκοπική συρραφή επιχειλίου χόνδρου του ώμου (τύπου Bankart)

Από τις πιο συχνές κακώσεις στον ώμο είναι το εξάρθρημα, η αίσθηση δηλαδή ότι ο ώμος φεύγει από την θέση του, είτε προς τα μπροστά, είτε προς τα πίσω. Τα πρόσθια εξαρθρήματα αντιπροσωπεύουν την συντριπτική πλειοψηφία των περιστατικών (95%).

Τα εξαρθρήματα είναι συνηθέστερα αποτέλεσμα πτώσης, άμεσης πλήξης, ενώ παρατηρούνται συχνά και σε τροχαία ή αθλητικά ατυχήματα.


Η χειρουργική αντιμετώπιση είναι συνήθως η ενδεδειγμένη σε περιπτώσεις:

  • αθλητές
  • δραστήρια άτομα νεαρής ηλικίας
  • άτομα μεγαλύτερης ηλικίας με αυξημένες λειτουργικές απαιτήσεις
  • άτομα με συνοδές βλάβες (κακώσεις τενόντων, κάταγμα στην ωμογλήνη ή την κεφαλή του βραχιονίου)
  • άτομα με έντονα συμπτώματα αστάθειας που τους περιορίζουν στις καθημερινές τους δραστηριότητες

Η αρθροσκοπική χειρουργική αποκατάσταση μας επιτρέπει να επαναφέρουμε την δυναμική σταθερότητα του ώμου, μειώνοντας έτσι αισθητά τον κίνδυνο υποτροπής ενώ παράλληλα βοηθάμε τον/την ασθενή να επανέλθει με ασφάλεια στις αθλητικές δραστηριότητες.

Αξίζει εδώ να επισημάνουμε πως σε περιπτώσεις χρόνιας αστάθειας του ώμου, με πολλαπλά επεισόδια εξαρθρημάτων, χρειάζεται μια λεπτομερής προσέγγιση με ανάλυση όλων των πιθανών συνοδών βλαβών (οστικά ελλείμματα, κάκωση Bankart και Hill Sachs). Οφείλουμε να αναγνωρίσουμε σωστά αυτές τις βλάβες και να τις αντιμετωπίσουμε χειρουργικά (πχ. χειρουργική αποκατάσταση Remplissage, Latarjet) ενδεχομένως και με την χρήση οστικών μοσχευμάτων, συνηθέστερα από την κορακοειδή απόφυση ή το ιερολαγόνιο οστό.


Πληροφορίες και προετοιμασία για το χειρουργείο

  • Οι ασθενείς υποβάλλονται σε προεγχειρητικό έλεγχο το ίδιο πρωί ή λίγες μέρες πριν την επέμβαση, με σκοπό να ελεγχθεί ο/η ασθενής για πιθανά προβλήματα υγείας.
  • Λαμβάνεται ένα πλήρες ιατρικό ιστορικό και γίνεται έλεγχος της φαρμακευτικής αγωγής. Ταυτόχρονα διενεργούνται προεγχειρητικές εξετάσεις (γενικές εξετάσεις αίματος, ηλεκτροκαρδιογράφημα, ακτινογραφία θώρακος και ώμου) και εκτίμηση από αναισθησιολόγο.
  • Η εισαγωγή στην κλινική γίνεται συνήθως το πρωί της ημέρας του χειρουργείου, ή το προηγούμενο απόγευμα, σε περίπτωση που διαμένετε σε περιοχή εκτός της Θεσσαλονίκης. Η ομάδα των αναισθησιολόγων καθορίζει ποια μορφή αναισθησίας είναι η κατάλληλη για εσάς.
  • Η διάρκεια της επέμβασης είναι 45-60 λεπτά. Στόχος της επέμβασης είναι η συρραφή και η εκ νέου καθήλωση του επιχειλίου χόνδρου με την χρήση νημάτινων αγκυρών. Το χειρουργείο διενεργείται αρθροσκοπικά, διαμέσου 2-3 μικρών τομών μήκους 5 χιλιοστών στο δέρμα. Η παραμονή στην κλινική μετά το χειρουργείο είναι συνήθως από λίγες ώρες μέχρι το πολύ 1 ημέρα.

Πιθανότατα θα χρειαστείτε βοήθεια για τις πρώτες ημέρες σε κάποιες καθημερινές δραστηριότητες (δουλειές του σπιτιού, ψώνια, μαγείρεμα, μπάνιο).

Ο πόνος μετά το χειρουργείο είναι μέρος της διαδικασίας της επούλωσης.Με την χρήση των αρθροσκοπικών τεχνικών συρραφής και την εφαρμογή σύγχρονων πρωτοκόλλων αναλγησίας, ο μετεγχειρητικός πόνος είναι ελάχιστος και ανεκτός με φάρμακα από το στόμα κατά την έξοδο από την κλινική. Μετά την επέμβαση, θα πρέπει να ακολουθήσετε ένα πρόγραμμα αποκατάστασης και φυσικοθεραπείας, για να αποκαταστήσετε τη λειτουργικότητα του ώμου. Ο χειρουργός παρακολουθεί την πρόοδο σας και διασφαλίζει ότι η αποκατάσταση προχωρά ομαλά.

Ανάλογα με το μέγεθος της ρήξης, τον τρόπο συρραφής, τις λειτουργικές απαιτήσεις, την ποιότητα του επιχειλίου χόνδρου, οι ασθενείς επιστρέφουν στο επιθυμητό επίπεδο δραστηριοτήτων μετά από 3-6 μήνες. Επίσης, συστήνεται η χρήση ειδικού φακέλου ανάρτησης του ώμου για διάστημα 6-8 εβδομάδες μετά το χειρουργείο.

Ο Ορθοπεδικός Χειρουργός-Αθλητίατρος Αργυράκης Δημήτριος έχει πολυετή εμπειρία στην αντιμετώπιση καταγμάτων των άνω και κάτω άκρων, προσεγγίζοντας κάθε περίπτωση ξεχωριστά και δίνοντας εξατομικευμένες επιστημονικές λύσεις.




Τζ. Κέννεντυ 115Β, Πυλαία - Θεσσαλονίκη

2310-342380, info@iaseio.gr

Δευτέρα - Παρασκευή, 11.00-21.00

Λεωφορείο ΟΑΣΘ: , στάση: Εκπαιδευτήρια ΑΠΟΣΤΟΛΟΣ ΠΑΥΛΟΣ

THESSALONIKI WEATHER